بیماری فارنژیت چیست؟

بیماری فارنژیت چیست؟

نویسنده:مدير سايت
صفحه:عمومی
24 فروردین 1394

فارنژیت ( pharyngitis) به التهاب و عفونت ناحیه حلق و لوزه ها فارنژیت گفته میشود.

حلق را میتوان به سه قسمت :
۱) نازوفارنکس که در خلف حفره بینی قرار گرفته
۲ ) اوروفارنکس که در انتهای حفره دهان واقع شده
۳) هایپوفارنکس که ادامه حلق به طرف پایین تا ابتدای مری است تقسیم میشود.

 

نازوفارنکس و اوروفارنکس چون ابتدای ورود به دستگاه گوارش و تنفس را تشکیل میدهند لازم است دارای مکانیسم های دفاعی کافی در برابر ورود عوامل بیماریزا باشند. تراکم سلولهای لنفاوی و سلولهای ایمنی در این مناطق ارگانهای جداگانه ای راتشکیل داده اند که مسئولیت آنها دفاع از تهاجم عوامل بیماریزا است.

 

در پشت نازوفارنکس لوزه سوم ( آدنوئید ) قرار گرفته که در اطفال زیر ۵ سال در اثر عفونتهای مکرر دستگاه تنفس فوقانی میتواند بزرگ شده سبب انسداد نسبی نازوفارنکس شود. در این موارد تنفس کودک مشکل شده و بخصوص در شب – هنگام خواب – با صدا همراه است .

 

گرفتگی مداوم بینی – صدای تودماغی – برجسته شدن گونه ها و گود شدن سقف دهان از دیگر علائم هیپرپلازی آدنوئید ( لوزه سوم ) محسوب میشود. در ناحیه اوروفارنکس یا به اصطلاح عادی حلق دو لوزه در طرفین قرار دارند که هرگاه عفونتی در آنها ایجاد شود بزرگی ( تورم ) – قرمزی – درد و گاهی تشکیل چرک ( اگزودا ) را بدنبال دارد. عفونت لوزه ها را تونسیلیت ( tonsillitis) مینامند.

 

عفونت حلق فارنژیت و عفونت حلق توام با لوزه ها را تونسیلوفارنژیت (tonsillo-pharyngitis) مینامند. گرچه عوامل بیماریزا در هر سه گروه مشابه هستند و عوارض و نتیجه بیماری نیز تفاوت چندانی ندارد ولی لازم است تشخیص عفونت حلق به تفکیک موارد فوق بیان شود.

 

علائم بالینی :
عمده ترین علامت بالینی عفونت حلق درد است. در موارد خفیف یا اولیه بیماری درد در حین بلع وجود دارد ولی با گذشت بیماری و در موارد شدیدتر درد بطور مداوم وجود دارد گرچه باز درحین بلع تشدید میشود. گاه بلع دردناک ( odynophagia) به حدی شدید است که بیمار از فرودادن آب دهان نیز خودداری میکند و در نتیجه ترشحات بزاق در دهان زیاد میشود وگاه از دهان جاری است. ( سیالوره ).

 

تب در اکثر موارد وجود دارد. درجه تب بر اساس عامل بیماریزا متغیر است. در عفونتهای ویروسی ( بجز آدنوویروس ) تب خفیف و قابل تحمل است و در موارد عفونت استرپتوکوکی بخصوص در بچه ها تب گاه تا ۴۰ درجه سانتیگراد نیز میرسد. بلع دردناک یا اودینوفاژی که در فوق توضیح داده شد.

 

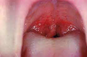
در معاینه بالینی قرمزی حلق و لوزه ها شایعترین یافته ایست که جلب توجه میکند. اگر اریتم محدود به لوزه ها باشد و سایر نقاط حلق درگیر نباشد اصطلاح تونسیلیت بکار برده میشود و اگر نسج حلق نیز درگیر باشد اصطلاح تونسیلوفارنژیت را بکار میبریم.

 

وجود اگزودا روی لوزه ها یا حلق که در این مورد اصطلاح exudative pharyngitis بکار برده میشود. در اکثر موارد اگزودا محدود به لوزه است و گاه از حدود لوزه فراتر میرود و پیلار قدامی – خلفی و یا زبان کوچک ( اوولا ) را نیز درگیر میکند ( مثل دیفتری ) .

 

گاه از مشاهده ماهیت و رنگ اگزودا میتوان عامل بیماریزا را حدس زد. اگزودای متراکم – غلیظ – خاکستری کثیف که به سختی به لوزه ها چسبیده است بخصوص اگر ورای لوزه ها نیز دیده شود بیانگر عفونت دیفتری است. اگزودای ناشی از استرپتوکوک بتا همولیتیک گروه A عموما کرمی رنگ است و محدود به لوزه باقی میماند.

 

گاه ماهیت فولیکولر دارد یعنی محدود به کریپت های لوزه ( حفرات لوزه ) باقی میماند و سایر نقاط لوزه به رنگ قرمز ملتهب دیده میشود ( follicular exudative pharyngitis) . آدنوویروس و هرپس سیمپلکس میتوانند اگزودا روی لوزه ایجاد کنند. در مورد آدنوویروس اگزودا مشابه استرپتوکوک است ولی در هرپس شروع بیماریزایی با وزیکول ( طاولهای کوچک حاوی مایع ) است که پس از باز شدن وزیکول اگزودای ملایمی روی لوزه ها پدید می آید.

 

آدنوپاتی یا بزرگی غدد لنفاوی در گلودرد چرکی شایع است. در اکثر موارد عفونت استرپتوکوکی لنفادنوپاتی محدود به قسمت تحت فکی ( submandibular) میباشد و عموما در لمس دردناک است. درعفونت هرپس نیز چنین است ولی در عفونتهای ناشی از EBV لنفادنوپاتی عموما در خلف گردن مشاهده میشود و دردناک نیست.

 

عفونت EBV (Epstein barr virus) میتواند اگزودا روی لوزه ها ایجاد کند و بندرت ممکن است این اگزودا ورای لوزه ها نیز دیده شود.

 

عوامل بیماریزا (etiologic):
استرپتوکوک بتاهمولیتیک گروه A یا استرپتوکوک پایوژن ( streptococcus pyogenes) به تنهایی مسئول حدود ۳۰٪ از عوامل ایجاد کننده گلودرد محسوب میشود. گلودرد شدید – تب – درد بدن – ضعف و بیحالی – اگزودا روی لوزه ها ( بین ۵۰٪ تا ۷۰٪) و لنفادنوپاتی تحت فکی از علائم بالینی این عفونت محسوب میشود.

 

تشخیص این عامل حائز اهمیت است چون در صورت عدم درمان کافی یا موفق سبب عوارضی بعلت تحریک سیستم ایمنی میشود.

 

آنتی ژن دیواره سلولی این میکروب با آنتی ژنهای خودی دریچه های قلب – مفاصل یا گلومرولهای کلیه مشابهت دارد و دفاع هومورال ( تشکیل آنتی بادی ) توسط لنفوسیتهای B-cell سبب ایجاد عوارضی نظیر : کاردیت (pancarditis ) که به روماتیسم قلبی معروف است – تورم مفاصل ( arthritis) که به تب روماتیسمی حاد ( Acute Rheumatic Fever) نامیده میشود و درگیری کلیوی ( nephritis) منجر میشود .

 

این عوارض خطیر و طولانی مدت هستند و صدمات جبران ناپذیری را به بیمار تحمیل میکنند. لذا شایسته است فارنژیت استرپتوکوکی با وسواس تشخیص داده شده و درمان شود.

 

۲) دیفتری (corynebacterium diphteriae) .
گرچه با اعمال واکسیناسیون همگانی علیه دیفتری این بیماری در شرف ریشه کنی است معهذی موارد تک گیر بیماری دیده میشود. تب در این بیماری شدید نیست ولی بعلت ترشح توکسین ( سم ) بیمار شدیدا بدحال است. کودکان عمده ترین گروه سنی درگیر هستند.

 

در معاینه اگزودای خاکستری غلیظ که از لوزه ها به لوزه کوچک و حتی به پشت حلق و نازوفارنکس نیز کشیده شده است دیده میشود. بلع دشوار سبب امتناع کودک از غذا خوردن یا حتی فرودادن آب دهان میشود و سیالوره بطور شایع دیده میشود. مشخصه اگزودای دیفتری این است که تلاش برای کندن غشاء سفت لوزه سبب ایجاد خونریزی ازسطح لوزه میشود. اگزودا مجموعه ای از میکروبهای کشته شده – سلولهای ایمنی مخدوش شده – ترشحات پلاسما و سلولهای اپیتلیال لوزه هستند که بطور عمیق با نسج لوزه ممزوج شده اند. تشخیص این عفونت نیز حائز اهمیت بسیار است چون در صورت عدم درمان سم میکروب روی قلب تاثیر گذاشته سبب مرگ میشود.

 

گاه وسعت اگزودا در اوروفارنکس یا نازوفارنکس سبب انسداد تنفسی شده خفگی کودک را بدنبال دارد. این بیماری یک اورژانس پزشکی محسوب میشود و باید علاوه بر اقدامات سریع جهت تایید تشخیص درمان را نیز بصورت همزمان شروع کرد ( تزریق آنتی توکسین و آنتی بیوتیک ). در بحث درمان در این مورد بیشتر شرح داده خواهد شد

 

۳) کورینه باکتریوم همولایتیکوم (corynebacterium haemolyticum ) .
از نظر باکتریولوژی شبیه دیفتری است ولی فاقد اگزوتوکسین کشنده آن است. این بیماری اگزودایی شبیه استرپتوکوک ایجاد میکند که ممکن است به ندرت از حدود لوزه ها فراتر رود. تب ملایم است – علائم عمومی نظیر درد بدن – توکسی سیتی – لرز و لکوسیتوز معمولا دیده نمیشود. مشخصه عفونت با این میکروب ایجاد ضایعات پوستی بصورت راش (rash) در تنه و اندامها است که رویت این ضایعات پزشک را به وجود این عامل بیماریزا هدایت میکند. تشخیص مستلزم جداکردن میکروب از سطح لوزه است که محیط مخصوص کشت کورینه باکتریوم را لازم دارد.

 

۴) گنوکوک ( Neisseria gonorrhea) .
گروه نیسریاسه عموما در دستگاه ادراری تناسلی بیماریزایی ایجاد میکنند ولی ممکن است در حلق نیز کولونیزه شوند و بصورت کومانسال وجود داشته باشند. عفونت حاد نایسریا گونوره میتواند تونسیلیت یا فارنژیت شبیه استرپتوکوک ایجاد کند .

 

وجود اگزودا نادر است و عموما درمعاینه اریتم و تورم لوزه ها دیده میشود. علائم سیستمیک ملایم هستند. تب – میالژی – سردرد – بلع دردناک در اکثر موارد دیده میشود. این میکروب عارضه خاصی ایجاد نمیکند ولی از نظر اپیدمیولوژیک حائز اهمیت است. این عفونت اکثرا در جوانهای فعال از نظر جنسی دیده میشود.

 

۵) آدنوویروس – adenovirus.

همانطور که ذکر شد جزء معدود ویروسهایی است که میتواند اگزودا روی لوزه ایجاد کند. تورم و اریتم لوزه ها – علائم سیستمیک ملایم و لنفادنوپاتی تحت فکی و زنجیره قدامی گردن در اکثر مبتلایان دیده میشود.

 

از خصائص این عفونت میتوان درگیری همزمان چشمها بصورت تورم ملتحمه (conjunctivitis) را نام برد. وجود کونجنکتیویت یا با احتمال کمتر راش جلدی پزشک را به تشخیص این عفونت راهنمایی میکند.

۶) هرپس سیمپلکس – herpes simplex (ویروس تبخال).

عموما تیپ ۱ و ندرتا تیپ ۲ میتواند حفره دهان و فارنکس را درگیر کند.
کوکساکی ویروس coxsackievirus نیز علاوه بر ضایعات جلدی میتواند حفره دهان را درگیر کند و ضایعات مخاطی (enantem) شبیه هرپس ایجاد کند.

 

تفاوت این دو در این است که هرپس معمولا قسمت قدام ( جلوی ) دهان را درگیر میکند و گاه فارنژیت ایجاد میکند ولی کوکساکی A قسمت خلف ( عقب ) و سقف دهان را درگیر کرده و عموما روی مخاط دهان ضایعات مخاطی سفید-کرم رنگ به اندازه ۱-۲ میلیمتر ایجاد کند.

 

همانطور که شرح داده شد در عفونت هرپسی شروع عفونت بشکل وزیکول است که بعد (‌ظرف ۲الی ۳ روز) طاولها باز شده ترشحات توام با دبری های ناشی از عفونت شمایی شبیه اگزودا روی فارنکس یا لوزه ایجاد میکند. عارضه خاصی بدنبال عفونت با این ویروس ها وجود ندارد و بیماری عموما خود محدود شونده است. گرچه در زمان بیماری درد شدید در حفره دهان کودک را آزار میدهد و خوردن غذا با دشواری همراه است

 

۷) اپشتین وار ویروس ( EBV) و سایتومگال ویروس (CMV).

این دو ویروس جزء DNA-viruses هستند و علیرغم بیماریزایی پایین در کودکان میتوانند فارنژیت های طول کشنده و شدید ایجاد کنند. CMV سیستم ریتیکولواندوتلیال نظیر طحال یا کبد را بیشتر درگیر میکند و درگیری لوزه ها و غدد لنفاوی گردن بیشتر با EBV دیده میشود. این ویروس میتواند اگزودایی کاملا مشابه استرپتوکوک روی لوزه ها ایجاد کند. اگزودایی ملایم به رنگ cream که گاه خارج از حدود لوزه ها نیز مشاهده میشود.

 

از مشخصات عفونت با این ویروس برجسته شدن غدد لنفاوی گردن بخصوص در نواحی خلف گردن و نیز طول کشیدن بیماری و عدم پاسخ مناسب به تزریق پنی سیلین یا تجویز سایر آنتی بیوتیکها است.

 

از دیگر خصوصیات عفونت با این ویروسها ( بخصوص CMV ایجاد راشهای جلدی روی تنه و اندامها یکی دو روز بعد از تجویز آمپی سیلین یا آموکسی سیلین است. تغییراتی که در خون محیطی ایجاد میکند (‌لنفوسیتوز و لنفوسیت آتی پیک بیش از ۱۰٪ ) و تولید آنتی بادی ( monospot test) پزشک را در تشخیص قطعی کمک میکند. گاه همزمان با این ویروس باکتریهای پاتوژن نیز جدا میشوند نظیر استرپتوکوک یا کورینه باکتریوم.

 

اینکه آیا این باکتریها بطور توام عفونتزایی نیز دارند یا خیر مورد تردید است ولذا برخی پزشکان اعتقاد دارند در صورت جداسازی باکتری پاتوژن آنتی بیوتیک مناسب نیز تجویز شود. بطور کلی عفونت EBV خود محدود شونده است و بدون عارضه خاصی خوب میشود. به ندرت اگزودای وسیع – تورم شدید مخاط حلق و یا بزرگی غدد لنفاوی گردن سبب ایجاد انسداد نسبی شده به بیمار حالت تنگی نفس یا خفگی دست میدهد.

 

۸) ایدز – HIV infection :
خود ویروس HIV در جریان بیماریزایی خود در مرحله Acute retroviral syndrome میتواند فارنژیت ایجاد کند. لنفادنوپاتی گردن معمولا دیده میشود. علائم سیستمیک وجود دارند و ضعف جسمی نیز چشمگیر است ولی اگزودا روی لوزه تشکیل نمیشود. تشخیص این عفونت با تابلوی ذکر شده بسیار دشوار است و ظن قوی پزشک بعد از مصاحبه کامل – معاینه فیزیکی دقیق و درخواست تستهای آزمایشگاهی مناسب (p24) میتواند پزشک را به تشخیص برساند.

 

۹) قارچها و بخصوص کاندیدا در بیماران دچار نقص سیستم ایمنی میتوانند لوزه ها را درگیر کنند.

در بیماران دیابتیک – مبتلا به سرطان – بیماران تحت شیمی درمانی و مبتلایان به ایدز ممکن است کاندیدا بصورت بیماریزا در دهان و حلق عفونت ایجاد کرده لکه های سفید رنگ پنبه ای شکل روی مخاط دهان و لوزه ها ایجاد کند. ضایعه عموما با درد شدید همراه نیست و اریتم مخاط دهان و لوزه ها بطور شایع دیده میشود. سایر قارچهای سیستمیک نظیر کوکسیدیومایکوزیس – کوکسیدیوایدومایکوزیس – نوکاردیا – کریپتوکوک نیز در بیماران دچار نقص سیستم ایمنی میتواند فارنژیت ایجاد کند ولی اکثر این عوامل در ایران به ندرت دیده میشوند ( آندمیک نیستند )

 

۱۰) ویروسهایی از قبیل آنفولانزا – پاراآنفولانزا – RSV – کوروناویروس و رینوویروس میتوانند در سیر بیماریزایی خود لوزه ها را نیز درگیر کنند .

ولی عموما علائم ناشی از خود بیماری شدید تراز علائم فارنژیت است و بیمار در حین توضیح علائم خود نظیر : آبریزش بینی – گرفتگی بینی – تب و درد عضلانی ( در مورد آنفولانزا ) احساس خارش یا درد ملایم را نیز در حلق ذکر میکند که توجه به همین نکته میتواند پزشک را در تشخیص فارنژیت از عفونتهای ویروسی دستگاه تنفس کمک کند.

 

تشخیص :
عمده ترین جنبه ای که در درمان باید در نظر گرفته شود افتراق استرپتوکوک پایوژن از سایر عوامل بیماریزا است چون اگر بخوبی تشخیص و درمان نشود عوارض جبران ناپذیری ایجاد میکند. کشت حلق بهترین روش تشخیص این عامل بیماریزا است ولی حداقل ۲ روز زمان میبرد. چون باید برای درمان بیمار سریعا تصمیم گیری شود میتوان از تستهای راپید تشخیص آنتی ژن استفاده کرد. این تستها ( Strip ) هنوز در کشور ما چندان رایج نشده اند ولی ساده اند و به کمک آن بسرعت میتوان عفونت استرپتوکوکی را تشخیص داد.

 

عقیده کلی بر این است که اگر تست استریپ مثبت شد نیازی به انجام کشت نیست ولی اگر منفی گزارش شد کشت حلق باید انجام گیرد . حساسیت تست را حدود ۸۰٪ و ویژگی آنرا بیش از ۹۰٪ میدانند. بجز این دو روش تشخیص اسمیر مستقیم از لوزه یا اگزودای روی لوزه با رنگامیزی گرم میتواند پزشک را تا حدی راهنمایی کند.

 

استرپتوکوک بصورت کوکسی های گرم مثبت پراکنده بنفش رنگ زیر لام دیده میشود. وجود این یافته در کنار علائم بالینی منطبق با فارنژیت استرپتوکوکی میتواند تاحدی تشخیص را آسان کند ولی تشخیص قطعی مستلزم کشت حلق است.

 

تشخیص دقیق عفونت کورینه باکتریوم ( اولسرانس – دیفتریه – همولایتیکوم ) مستلزم کشت روی محیط های اختصاصی است. ( لوفلر آگار ) و رنگامیزی خاص دیفتری نیز میتواند کوکسی های گرم مثبت را نشان دهد. تشخیص دقیق این عفونت هم از نظر اپیدمیولوژیک ( انقال به سایرین ) و هم درمان سریع بیمار ( بعلت مرگ و میر بالا ) لازم است.

 

در مورد ویروسها در شرایط ما امکانات تشخیصی کافی وجود ندارد و عموما تشخیص عفونت ویروسی حلق بر اساس رد کردن سایر عوامل بیماریزا و کلینیک بیمار صورت میپذیرد. در یافته های پاراکلینیکی عدم افزایش ESR – لکوسیت کانت تقریبا طبیعی یا مختصر افزایش یافته و نیز در اکثر موارد غالب بودن تعداد لنفوسیت میتواند پزشک را به ویروسی بودن عفونت راهنمایی کند.

 

در مورد قارچها گرچه کشت قطعی ترین روش تشخیص است ولی بعلت زمان بر بودن این متد و نیز محدود بودن امکانات کشت قارچ عموما از اسمیر مستقیم لوزه و یافته های بالینی جهت تشخیص استفاده میشود.

 

درمان:
هنوز مقاومت سطح متوسط یا بالا نسبت به استرپتوکوک بتاهمولیتیک ( جز در موارد محدودی از دنیا ) گزارش نشده است. لذا درمان فارنژیت استرپتوکوکی تزریق یک دوز پنی سیلین بنزاتین ۱٫۲۰۰٫۰۰۰ واحدی است. میتوان از تزریق همزمان ۲ عدد پنی سیلین ۶٫۳٫۳ در بالغین و یکعدد در اطفال زیر ۲۸ کیلوگرم استفاده کرد. مزیت پنی سیلین ۶٫۳٫۳ نسبت به بنزاتین پنی سیلین تاثیر زودتر آن بعلت داشتن پنی سیلین کریستال است.

 

در مناطقی که شک مقاومت استرپتوکوک به پنی سیلین وجود دارد یا با تزریق یک دوز پنی سیلین نتیجه قابل قبول عاید نشد میتوان ۳ روز اول را علاوه بر تزریق پنی سیلین از آموکسی سیلین با دوز ۵۰۰ میلیگرم تا ۱ گرم هر ۸ ساعت یا کوآموکسی کلاو ۶۲۵ میلیگرم هر ۸ ساعت ویا آزیترومایسین ۵۰۰ میلیگرم در روز استفاده کرد. البته روی این موضوع اتفاق نظر وجود ندارد.

 

در مواردیکه ترریق پنی سیلین ممکن نیست میتوان از پنی سیلین وی (p.v) با دوز ۲۵۰ الی ۵۰۰ میلیگرم هر ۸ الی ۶ ساعت استفاده کرد منتهی دوره درمان حداقل باید ۱۰ روز اعمال شود تا میکروب از لوزه ها ریشه کن شود.

 

در موارد حساسیت به پنی سیلین میتوان از داروهای دیگر استفاده کرد : اریترومایسین برای ۱۰ روز – آزیترومایسین – کلاریترومایسین برای ۷ روز – کلیندامایسین ۳۰۰ میلیکرم هر ۶ الی ۸ ساعت برای ۱۰ روز – داکسی سیکلین ۱۰۰ میلیگرم دوبار در روز بمدت ۱۰ روز. پیشنهاد میشود از تتراسیلکلین و کوتریموکسازول برای درمان فارنژیت استرپتوکوکی استفاده نشود ( مقاومت نسبی میکروب به این داروها و عدم ریشه کن شدن میکروب از لوزه ها )

 

در مواردیکه عفونتهای مکرر لوزه وجود دارد یکی از بهترین داروهایی که میتوان برای پیشگیری از عود فارنژیت بکار برد کلیندامایسین خوراکی با دوز ذکر شده در فوق است.
اخیرا نقش مونوتراپی اریترومایسین در درمان فارنژیت استرپتوکوکی را محدود میدانند که علت آن استفاده بی رویه از این دارو در عفونتهای دستگاه تنفس فوقانی و مقاوم شدن نسبی میکروب به این دارو است.

 

– عفونت هرپس ( تبخال ) را میتوان با آسیکلوویر (acyclovir) با دوز ۴۰۰ میلیگرم هر ۵ ساعت بمدت ۵ روز درمان کرد. درمانهای حمایتی جهت کاهش درد نظیر ضد التهاب و استامینوفن پیشنهاد میشود. غرغره شربت دیفن هیدرامین تاثیر چندانی در سیر عفونت ندارد ولی میتواند شدت سوزش و درد را بطور موقت کاهش دهد.

 

– عفونت آدنوویروس گرچه از انواع شدید عفونت حلق به شمار میرود نیازمند درمان نیست و پس از گذشت ۱۰ الی ۱۴ روز خود بخود محدود میشود.

 

– عفونت EBV & CMV اگر چه دوره بیماریزایی طولانی دارند ولی خود محدود شونده هستند. گرچه برای درمان عفونتهای سیستمیک شدید ناشی از این دو ویروس دارو در اختیار داریم ولی فارنژیت ناشی از این ویروسها نیاز به درمان ضد ویروس ندارد. گاه التهاب شدید فارنکس بخصوص در مورد EBV میتواند انسداد نسبی راه هوایی ایجاد کند که در اینصورت تزریق یک دوز دگزامتازون سبب بهبود علائم و بازماندن دستگاه فوقانی تنفس میشود

 

– دیفتری :
درمان این عفونت یک اورژانس طب محسوب میشود. چون بخش عمده بیماریزایی دیفتری بعلت اگزوتوکسین این میکروب است خنثی کردن سم میکروب در اولویت درمان قرار میگیرد. لذا باید اولین اقدام درمان آنتی توکسی دیفتری باشد. آنتی توکسین از سرم اسب تهیه میشود ولذا میتواند حساسیت در بیمار ایجاد کند.

 

جهت تعیین اینکه بیمار حساسیت دارد یاخیر به این روش عمل میکنیم : تست خراش – Scratch test که در این روش با سرسوزن استریل یک یا دو خراش سطحی روی پوست ایجاد میکنیم بشرطی که منجر به خونریزی نشود. سپس یک قطره سرم ضد دیفتری با رقت ۱۰۰۰/۱ را روی خراش میریزیم. اگر پس از چند ثانیه کهیر در موضع ایجاد شد بیمار حساسیت دارد . اگر کهیر ایجاد نشد ۱/۰ میلی لیتر از همین رقت را داخل جلد تزریق میکنیم. اگر حساسیت موضعی ایجاد نشد میتوان سرم ضد دیفتری را تزریق کرد.

 

دوز آنتی توکسین :
در دیفتری حلقی یا بینی اگر زمانی کمتر از ۴۸ ساعت گذشته باشد مقدار ۴۰۰۰۰واحد کفایت دارد.
اگر حلق و بینی با هم درگیر بود ۸۰۰۰۰ واحد و اگر زمانی بیش از ۳ روز از شروع علائم دیفتری گذشته بود یا وسعت بیماری بیش ازاین بود تا ۱۲۰۰۰۰ واحد تزریق میشود. اکثر مولفین معتقدند نصف سرم بصورت انفوزیون آهسته وریدی و نصف دارو عضلانی تزریق شود.

 

برخی تزریق عضلانی کل دوز را ارجح میدانند. میتوان کل دارو را بشکل انفوزیون وریدی نیز تزریق کرد ولی عموما با واکنشهای نسبتا شدید همراه است.

 

– نکته قابل ذکر این است که بطور کلی در درمان فارنژیت ها از دگزامتازون استفاده نشود. چون اکثر عوامل ویرال در اثر تزریق این دارو شدت یافته علیرغم بهبود آنی و ظاهری بیمار طولانی شدن عفونت و دوره بیماریزایی را بدنبال دارد.

 

عموم بیماران فردای پس از تزریق دگزامتازون از بدتر شدن علائم بالینی خود شکایت دارند. اما استفاده از ضد التهاب نظیر ناپروکسن یا تولمتین یا بروفن بلامانع است. از تجویز آسپیرین در دوران اپیدمی آنفولانزا بعلت احتمال ایجاد سندرم ری پرهیز شود.

 

– هرپانژاینا ناشی از کوکساکی A گرچه میتواندعلائم بالینی شدید ایجاد کند ولی خود محدود شونده است و نیاز به درمان ندارد. درمانهای حمایتی نظیر استامینوفن کمک کننده است.

 

– پیشگیری:
– نکاتی که باید توسط بیمار رعایت شود: تا زمانیکه کشت لوزه منفی شود بیمار میتواند میکروب موجود در حلق خود را به دیگران منتقل کند. با سرفه و عطسه قطرات ریزی در هوا معلق میشوند (droplet) که تا ۱ متر برد دارند و براحتی میتوانند طرف مقابل را آلوده کنند. لذا توصیه میشود افراد مبتلا تا بهبودی کافی ویا حداقل ۴۸ ساعت پس از مصرف آنتی بیوتیک مناسب موقع صحبت – عطسه یا سرفه جلوی دهان و بینی خود را با دستمال تمیز بپوشانند.موقع صحبت با افراد سالم در مقابل صورت آنها قرار نگیرند و بهتر است زاویه دو صورت ۹۰ درجه باشد. رعایت حداقل فاصله ۱ متری الزامی است.

 

– بیماران آنتی بیوتیک را با دوره کافی و به فواصل زمانی تعیین شده استفاده کنند. تسکین درد گلو به منزله بهبودی کامل نیست

 

– نوشیدن مایعات ولرم به تسکین درد گلو کمک میکند. رژیم غذایی نرم و فاقد مواد محرک نظیر ادویه باشد

 

– غرغره آب یا سرم نرمال سالین ولرم به کاهش التهاب حلق کمک میکند

 

– مکیدن قرص گیاهی لیکوفار تا حدی درد و سوزش حلق را کاهش میدهد

 

-استفاده از استامینوفن با فواصل حداکثر ۶ ساعت به تسکین درد کمک میکند. درمواردی که اودینوفاژی شدید است یا استفراغهای مکرر وجود دارد میتوان تا بهبود نسبی علائم از شیاف استامینوفن هر ۶ ساعت استفاده کرد

 

– داروهای ضد التهاب در صورتیکه منع مصرف نداشته باشند بهتر از استامینوفن میتوانند التهاب حلق و لوزه را کاهش دهند. ناپروکسن ۲۵۰ میلیگرم هر ۸ ساعت – ایبوپروفن یا ژلوفن ۴۰۰ میلیگرم هر ۸ ساعت – تولمتین ۲۰۰ میلیگرم هر ۱۲ ساعت داروهایی موثر محسوب میشوند.

ارسال نظر
(بعد از تائید مدیر منتشر خواهد شد)
  • - نشانی ایمیل شما منتشر نخواهد شد.
  • - لطفا دیدگاهتان تا حد امکان مربوط به مطلب باشد.
  • - لطفا فارسی بنویسید.
  • - میخواهید عکس خودتان کنار نظرتان باشد؟ به gravatar.com بروید و عکستان را اضافه کنید.
  • - نظرات شما بعد از تایید مدیریت منتشر خواهد شد